カテーテルによる新しい高血圧治療

―腎デナベーション (Renal Denervation)―

ホーム / カテーテルによる新しい高血圧治療


「腎デナベーション(RDN)」は、生活習慣の改善・内服治療に続く高血圧治療と言われています。

日本には約4,300万人の高血圧患者さんがいますが、目標血圧までコントロールできているのはわずか4分の1(約25%)と言われています。

  • 薬の数が増える負担(ポリファーマシー): 加齢とともに薬の種類が増え、管理が困難になる。
  • 治療抵抗性高血圧: 利尿薬を含む3種類以上の薬を飲んでも血圧が下がらない。
  • 服用の中断: 副作用や飲み忘れにより、治療が継続できない。


こうした状況に対し、物理的に血圧を下げるアプローチが可能になりました。

上の動画では当院の青木医師が、治療抵抗性高血圧と高血圧のカテーテル治療について説明しています

目次

TOP

腎デナベーション(RDN)の治療

腎デナベーションは、血圧の調整に深く関わっている腎臓の交感神経の過活動(神経のたかぶり)を、カテーテルという細い管を使って和らげる治療です。

(1) 2つの治療デバイス

当院では臨床知見に基づき、患者さんの状態に合わせたデバイスを使用します。

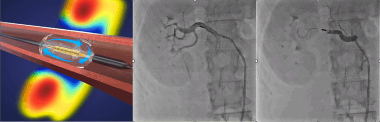
1. 高周波カテーテル: らせん状のカテーテルに配置された4つの電極から高周波エネルギーを用いて、腎動脈周囲の交感神経を焼灼します。(図1および動画1参照)。

図1 高周波によるRDN

2. 超音波カテーテル: 超音波を発するバルーンカテーテルを用いて、腎動脈周囲の交感神経を全周性に焼灼します。(図2および動画2参照)。

図2 超音波によるRDN

(2)特徴

  • 降圧効果: 診察室での血圧が平均で約10mmHg低下することが報告されています。
  • 合併症リスクの低減: 血圧が10mmHg下がることで、脳卒中や心筋梗塞のリスクを約15%抑える効果が期待されています。
  • 24時間の安定: 降圧薬ではコントロールしにくい「早朝高血圧」や「夜間高血圧」にも有効と考えられています(図3)。
図3 24時間持続的な降圧効果が得られます。 
Kandzari D, et al. FDA Panel Meeting 2023より
TOP

治療の対象となる方(適応基準)

この治療は、現在お薬で血圧管理が難しい方が主な対象となります。学会のガイドラインに基づき、以下の基準を設けています。

  • 3種類以上の降圧薬(利尿薬含む)を服用しても、血圧が目標値まで下がらない方
  • 腎臓の機能が一定以上保たれている方
  • 血管の硬化(動脈硬化)がそれほど進んでいない方
TOP

聖路加国際病院の取り組みと今後の展望

聖路加国際病院では、この新しい治療法の導入に先立ち、近年行われた臨床試験にも参加してきました。現在は、高血圧を専門とする医師を中心に、看護師、栄養士、薬剤師などが協力し合う専門チームにより、安心して治療を受けていただける体制を整えています。

RDN治療責任者の青木 二郎 医師
TOP

解説(ラジオNIKKEI)

当院の青木 二郎 先生が治療抵抗性高血圧と腎デナベーションについて解説しております。

https://www.radionikkei.jp/podcast/doctorheart/2026312.html

TOP

受診・ご紹介の流れ

 

まずは現在お掛かりの主治医の先生にご相談いただき、当院への紹介状をお持ちの上、「高血圧専門外来」をご予約ください。

【外来予約のご案内はこちら】

【外来表はこちら】

 

医療従事者の皆様へ

治療抵抗性高血圧でお悩みの症例がございましたら、循環器内科へお気軽にご紹介ください。

【医療連携・ご紹介について】

TOP

よくある質問(Q&A)

Q. 治療について教えてください

A. カテーテル治療ですので、大きく切開することはありません。太ももの付け根を局所麻酔して行います。治療中は痛みを訴えられる方もおられるため、鎮静薬や鎮痛薬を適宜使用して強い痛みが生じないようにコントロールを行います。一般的には数日程度の入院が必要となります。

Q. 誰でも受けられる治療ですか?

A. 全ての方に効果があるわけではありません。血管の形状や腎機能の状態によって適さない場合もありますので、専門医による事前の精密検査が必要です。ご自身やご家族が適応になるか気になる方は、一度当院の高血圧専門外来を受診して下さい。

TOP